Investigadores españoles predicen con IA los riesgos de los tratamientos para el cáncer de pulmón

Este hallazgo supone un avance en la personalización de los tratamientos oncológicos
Permitirá predecir con antelación qué pacientes tienen mayor riesgo de complicaciones
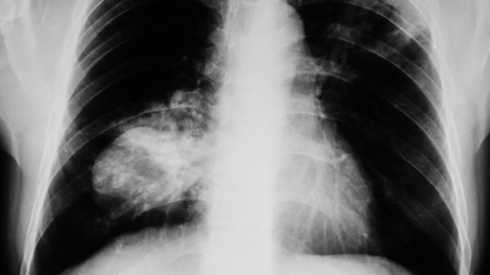
El cáncer de pulmón es la tercera causa de muerte en España, en 2023 causó más de 22.700 fallecimientos, con un incremento del 4,2% en la mortalidad femenina. Son varios los procedimientos que existen para tratar esta enfermedad, sin embargo, no todos los pacientes responden de igual forma a cada uno de estos. Por ello, investigadores de la Escuela Técnica Superior de Ingeniería Informática de la Universidad de Sevilla, del Hospital Virgen del Rocío y del Virgen Macarena han desarrollado una innovadora investigación que utiliza inteligencia artificial para predecir los efectos secundarios de los tratamientos que se utilizan en pacientes de cáncer de pulmón. El estudio, publicado en la prestigiosa revista 'Clinical and Translational Radiation Oncology', supone un destacado avance en la personalización de los tratamientos oncológicos, pues ayudará a predecir complicaciones y facilitará a los oncólogos la toma de decisiones para minimizar los riesgos asociados a los tratamientos, ha informado este martes en un comunicado la Universidad de Sevilla.
Tipos de efectos secundarios a la radioterapia
El estudio en cuestión se basa en un análisis exhaustivo de datos reales de 875 pacientes con cáncer de pulmón, empleando modelos de Inteligencia artificial, para predecir seis tipos de efectos secundarios a la radioterapia, como la esofagitis aguda o la disnea crónica. Según José Luis López Guerra, jefe de la UGC de Oncología Radioterápica del Virgen del Rocío, “este trabajo supone un importante avance en el conocimiento detallado de los efectos secundarios asociados a la radioterapia en pacientes con cáncer de pulmón. Nos permitirá predecir con antelación qué pacientes tienen mayor riesgo de padecer complicaciones, lo que facilita la toma de decisiones en cuanto a los tratamientos y la adopción de medidas preventivas para evitar estos efectos”. El trabajo, publicado en la prestigiosa revista Clinical and Translational Radiation Oncology, ha sido desarrollado en la Unidad de Gestión Clínica (UGC) de Oncología Radioterápica del Hospital Universitario Virgen del Rocío, en colaboración con la Unidad de Innovación y Análisis de Datos del Hospital Universitario Virgen Macarena y el Departamento de Lenguajes y Sistemas Informáticos de la Universidad de Sevilla. La investigación, que ha sido presentada como tesis doctoral en la Escuela Técnica Superior de Ingeniería Informática de la Universidad de Sevilla, destaca como un avance significativo en el campo de la oncología radioterápica y abre nuevas vías para la personalización de los tratamientos y la mejora de la calidad de vida de los pacientes. Aunque la investigación se publicó en 2023, acaba de recibir el Premio de la Cátedra Universitat de Barcelona-Atrys de Radioterapia Personalizada, que ha sido entregado a Kiko Núñez, investigador de la Universidad Hispalense que lidera el estudio, durante el XXII Congreso de la Asociación Española de Oncología Radioterápica (SEOR) celebrado en Oviedo.