El síndrome de Haglund: por qué es común entre deportistas como Marc Bartra

Se entiende como un abultamiento doloroso en la parte posterior del pie
El dolor se acentúa con la presión del calzado y la flexión del pie
El 65% de los pacientes con síndrome de Haglund acaban pasando por quirófano
Este lunes, el Real Betis Balompié ha comunicado que Marc Bartra deberá pasar por quirófano para solventar la lesión de su tendón de Aquiles. Tal y como ha apuntado el equipo, dicha lesión se debe a que el futbolista sufre el síndrome de de Haglund. Esta patología fue descrita por el cirujano ortopédico Patrick Haglund en 1928, de ahí su nombre. Coloquialmente se entiende como un abultamiento doloroso en la parte posterior del pie por un crecimiento oseo anómalo.

Es una patología habitual en deportistas teniendo en cuenta que "las tendinopatías del tendón de Aquiles suponen entre el 30-50% de todas las lesiones que tienen lugar en el deporte en general" debido al sobreuso que se hace de este al hacer deporte, apunta un proyecto de la Universidad de A Coruña. Además puntualiza que "este tipo de patología es común en futbolistas debido a los reiterados microtraumatismos al correr".
¿Cuáles son los síntomas?
El síndrome de Haglund tiene una sintomatología muy variada por lo que los síntomas son orientativos. Algunos pacientes presentan un aumento de partes blandas en el talón, dolor focalizado en la inserción del tendón de Aquiles y flexión dolorosa del pie, apunta la Sociedad Española de Médicos de Atención Primaria (SEMERGEN). "La clínica dolorosa se acentúa con la deambulación, la presión del calzado y la flexión dorsal del tobillo", añade la revista de la Federación Española de Medicina del Deporte.
Las fases del tratamiento del síndrome de Haglund
- Los especialistas prefieren dejar como última opción la cirugía, siempre y cuando la magnitud del abultamiento tenga un tamaño adecuado. Por este motivo, siempre apuestan primero por un tratamiento conservador. "El tratamiento conservador presenta una tasa curativa de aproximadamente entre el 40% de los casos de incidencia, aliviando el dolor y reduciendo de manera paulatina la inflamación producida en la zona del retropié", apunta el estudio universitario. Las recomendaciones de esta primera fase son: Reducción del roce y de la presión excesiva producida por el uso del calzado deportivo.
- Protección de la zona con fieltros.
- Elevación del retropié mediante el empleo de taloneras de material no compresivo.
- Para reducir el dolor, las recomendaciones se basan en: Uso de antiinflamatorios .
- Fisioterapia .
- Estiramientos .
- Crioterapia.
- Ondas de choque.
- Infiltración de corticoesteroides en casos excepcionales.
- Reposo parcial de la práctica deportiva.
En caso de que este tratamiento no dé los resultados esperados, los facultativos deben valorar la opción del tratamiento quirúrgico. De hecho, esto ocurre "aproximadamente, en el 65% de los casos de síndrome de Haglund". Los diferentes estudios científicos consultados por ElDesmarque no dan un tiempo medio de recuperación tras la cirugía, sino que este periodo depende de cada persona. El médico irá valorando su recuperación conforme vaya pasando el tiempo.
Se necesitan pruebas para no confundir el diagnóstico
- Debido a que la sintomatología es muy variable, desde la Universidad de A Coruña apuntan que es necesario realizar una serie de pruebas para no confundir el síndrome con otras patologías: Realización de una minuciosa historia clínica que registre todas las lesiones de esta zona.
- Exhaustiva exploración física palpando y visualizando las zonas afectadas.
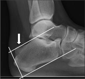
- Las imágenes radiográficas por Rayos X - "son de gran ayuda a la hora de clasificar esta patología y diagnosticar el tratamiento apropiado"-
Tanto la resonancia magnética como la ecografía son pruebas prescindibles. Siempre y cuando se vea el abultamiento a simple vista no es necesario una resonancia magnética, mientras que la ecografía es una "alternativa que permite una evaluación más precisa de los daños encontrados".
Por qué se produce el síndrome de Haglund
Aunque hay diversos estudios que hablan de esta patología, ninguno evidencia un motivo claro de por qué se produce dicho síndrome. Algunos se apoyan en la genética, otros en el uso de calzado ajustado y otros en la falta de elasticidad del tendón de Aquiles. Según Patrick Haglund, el calzado ajustado es el factor principal. En su tiempo, los que más padecían dicha patología era "gente culta" porque utilizaban zapatos muy estrechos para jugar al hockey y al golf, apuntan desde SEMERGEN. La Universidad de A Coruña plantea que "algunos estudios postulan que el comienzo de este síndrome se encuentra en la rigidez excesiva de la zona posteroanterior del talón debido a una falta de elasticidad del talón de Aquiles que, ante una serie de movimientos excesivos continuos, irrita el tendón y origina una inflamación". Otros estudios señalan el origen en las alteraciones morfoestructurales del pie provocando "un aumento de la tensión de la musculatura de la cadera posterior del deportista, conduciendo a su vez a un acortamiento de dicha musculatura". Sin embargo, otros estudios se basan en la genética. Esto significa que hay pacientes que tienen más predisposición a tener este síndrome que otros debido al material genético de cada persona.
